Skip to content
97 Union Road, Ascot Vale VIC 3032
03 9372 8007
Toggle navigation
About Us
Contact Us
Services
Our Team
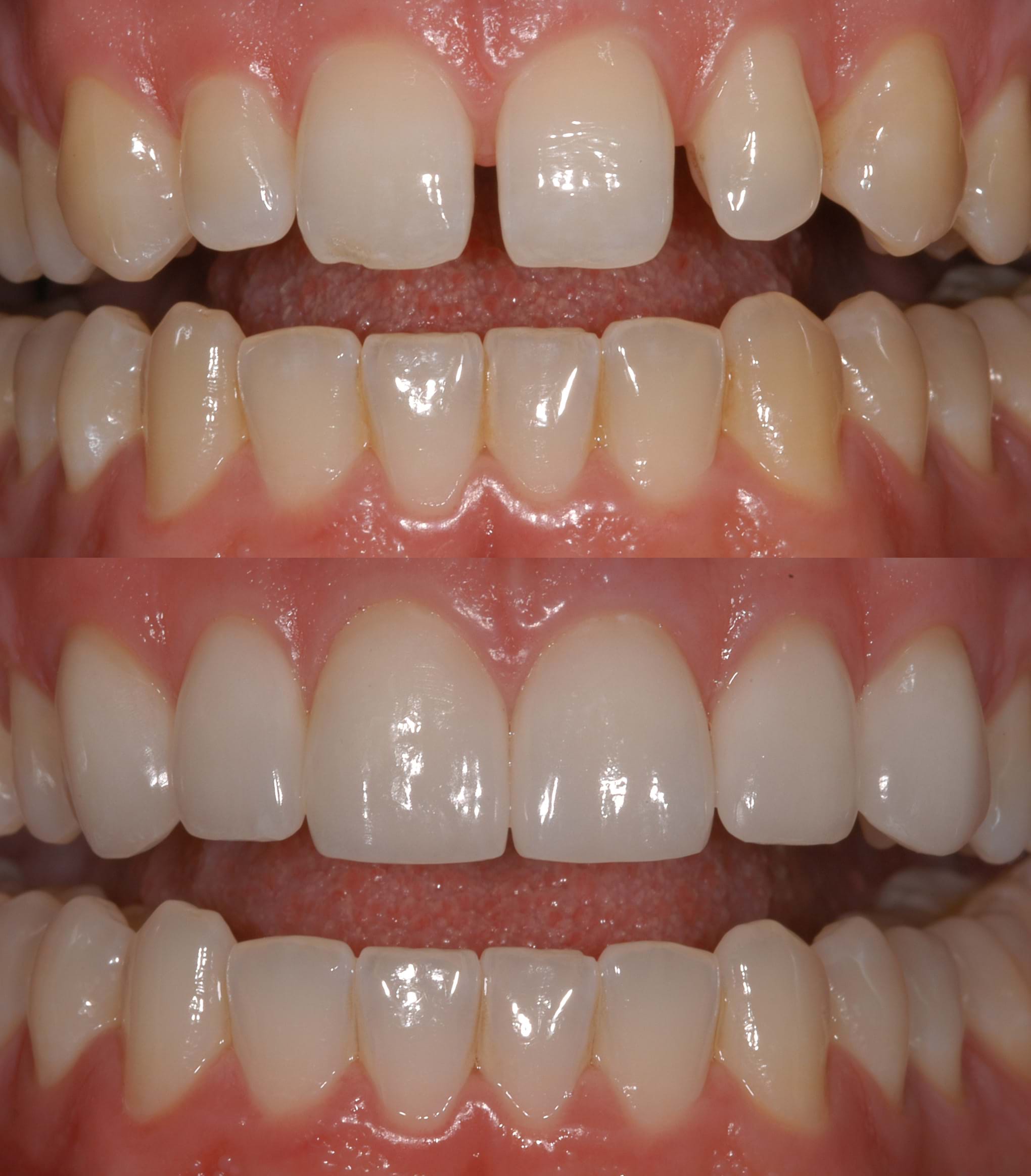
Image Gallery
Latest News